Welcome to LALUME Dental Studio, Orange County’s premiere dental experience, where Dr. Shahira Saad and her team illuminate smiles with facially-driven smile design and exceptional, personalized care. Our state-of-the-art practice in Newport Beach offers a comprehensive range of advanced dental services designed to help you achieve optimal oral health and a brilliant, confident smile.
Dr. Shahira Saad is a highly skilled and compassionate dentist who specializes in cosmetic, restorative, and preventive dentistry. With her expertise in high-quality, comprehensive care and commitment to patient comfort through concierge-level service, Dr. Saad delivers exceptional results tailored to your unique needs and goals.
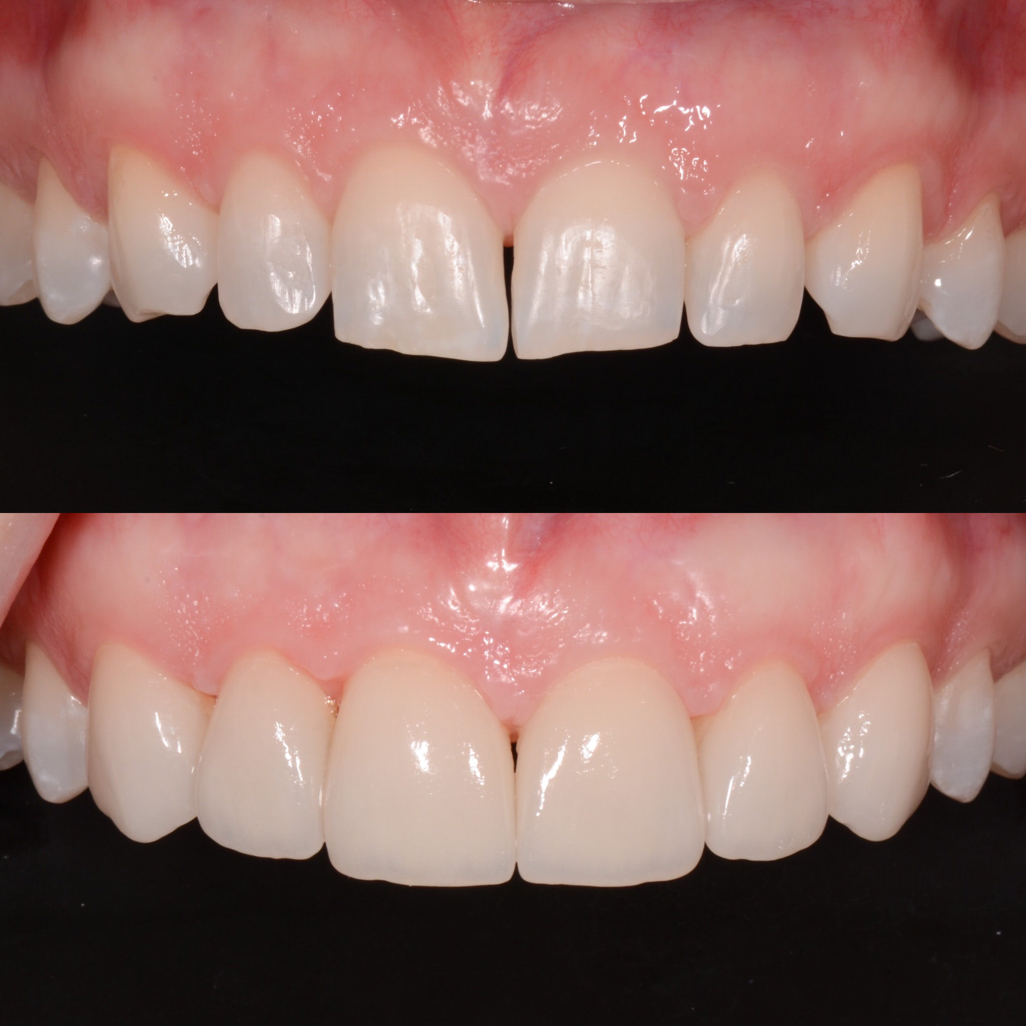
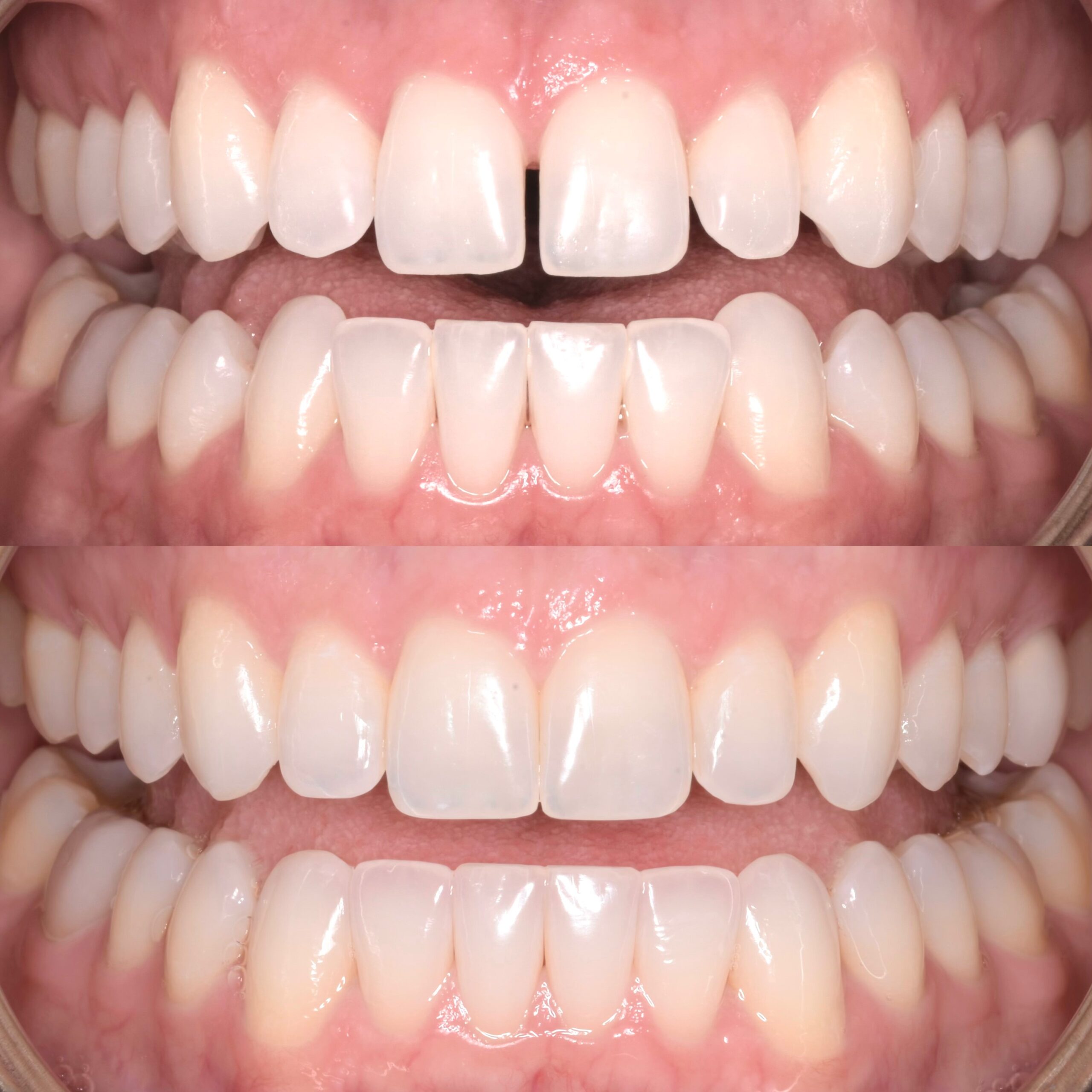
At LALUME Dental Studio, we specialize in providing high-quality and minimally invasive cosmetic and restorative dentistry. We are dedicated to creating beautiful smiles that look natural and shine with confidence.
Straighten your teeth discreetly and comfortably with Invisalign clear aligners. This innovative treatment allows you to achieve a beautifully aligned smile and functional bite without the hassle of traditional metal braces.
Achieve your ideal smile with our minimally-invasive approach to smile design. Your unique treatment plan can include a variety of cosmetic dental procedures, like porcelain and composite veneers, dental bonding, teeth whitening, and much more, to suit the needs of any smile.
Maintain optimal oral health and prevent dental problems with our comprehensive preventive services. Regular check-ups, cleanings, and personalized care help you keep your smile shining bright.
Experience a calm, relaxing dental visit with our range of sedation options. Whether you have dental anxiety or require extensive treatment, we prioritize your comfort and peace of mind.
Explore the transformative power of cosmetic and restorative dentistry with our stunning before and after gallery. See how our team’s expertise and artistic eye can help you achieve the smile of your dreams.
At LALUME Dental Studio, we’re committed to providing an unparalleled dental experience that sets us apart. Discover the difference our innovative approach, advanced technology, and compassionate care can make for your smile and your life.
We don’t believe in cutting corners. We use the latest advancements in dentistry, the highest quality materials, and partner with exceptional dental labs to deliver stunning results that will stand the test of time.
We focus on preserving your natural tooth structure and mimicking its properties for long-lasting, seamless restorations.
Experience truly personalized care with one-on-one consultations with Dr. Saad and treatment from our team of experts. We don’t rush, and we don’t double-book. When you’re at LALUME Dental Studio, you’re always our number one priority.
We prioritize your comfort at every step with The LALUME Comfort Menu, which includes a variety of soothing amenities to help put you at ease throughout your visit.
Our doctor and master ceramist will create a 3D model of your proposed new smile, so you can try in and visualize your new smile before committing to treatment.
From the moment you walk through our doors you’ll be met with the serene and spa-like atmosphere of Lalume Dental Studio. With individual treatment rooms you can sit back and relax in privacy and comfort during your visit.
At LALUME Dental Studio, we believe in providing a luxurious and comforting experience for our patients. That’s why we offer a range of amenities and services to ensure your visit is as relaxing as possible.
Enjoy your favorite shows and movies while receiving dental care.
Create your own playlist and listen to your favorite tunes during your appointment.
Sit back and relax with soothing scents tailored to your preferences.
Block out any unwanted noise and enjoy a peaceful dental experience.
Wow, wow, wow am I glad I found Dr Saad! Not only is her office absolutely beautiful, she and her staff are so welcoming and efficient. Dr Saad took the time to address all of my concerns and gave me the confidence to finally move forward with some cosmetic dentistry that, after a fairly traumatic experience with another dentist a few years back, I have been hesitant to restart. I am SO happy with the results. Her comfort menu is an added bonus for anyone nervous about going to the dentist. I have never loved or felt confident about my smile, but I do now thanks to Dr Saad. I would highly recommend Lalume Dental Studio to anyone.
I recently had a filling done by Dr. Saad at LaLume Dental Studio, and I must say, it was an exceptional experience from start to finish. The office itself is beautiful, more reminiscent of a luxury spa than a typical dental practice. However, the welcoming staff quickly puts you at ease, striking a perfect balance between professionalism and friendliness. Dr. Saad is truly outstanding in her field. She took the time to thoroughly explain the procedure, which greatly alleviated any anxiety I had. Her technique is remarkably gentle; I was surprised at how comfortable I felt throughout the entire process, even during the anesthetic injection. What stood out most was Dr. Saad’s efficiency without compromising on quality. The procedure was completed swiftly, yet the results are impeccable. My new filling feels completely natural – I can’t even detect it when eating.For anyone in need of a filling or any dental work, I highly recommend Dr. Saad. Her expertise and approach have genuinely changed my perspective on dental visits. LaLume Dental Studio offers a level of care and comfort that sets a new standard for dental experiences.
I have the worst anxiety about dental work and Dr. Saad is an ANGEL. She is just so warm, genuine, patient, and understanding. Soooo glad I found her new office because I fully trust her judgment and expertise for a treatment plan. Marissa was also so so so lovely — very thoughtful, quick, kind, and funny. I really appreciated their care today (and the beautiful aesthetic vibey office) and look forward to my next appt!
Dr. Saad is a life saver! I was born missing my two front side teeth and never felt confident to smile. No dentist ever made me feel comfortable to move forward with dental treatment until I discovered Dr. Saad. I appreciate that Dr. Saad spent ample time explaining all of my options in great detail and put my severe dental anxiety at ease. Not only is she very smart and up to date on the latest technology, she is SO sweet and her eye for detail is impeccable. I can’t thank her enough for giving me the smile of my dreams!
Dr. Saad and her entire team are fantastic! I needed to replace some old veneers, crowns and a bridge and was dreading it. Dr. Saad provided the absolute best care and designed a smile that far exceeded my expectations. The process was as painless as possible and with light sedation, it was stress-free. Dr. Saad is up to date on the latest developments and technology, too. Highly recommend for any cosmetic dentistry!
I had an absolutely fantastic experience at this dental office. From the moment I walked in, I was greeted with a warm welcome and given a personal tour of the facility. The office itself is elegant and exudes spa-like vibes, which immediately put me at ease. The staff was outstanding-they truly tailored their responses to my preferred way of communication, making me feel heard and understood. It’s clear that this office is not just about dental care, but also about providing an exceptional, customized experience.This place is a genius idea with brilliant staff, and I couldn’t be happier to put my trust in them for my dental needs. Highly recommend!
Receive high-quality, personalized treatment recommendations from Dr. Saad and get answers to all your smile questions from the comfort of your own home.
Ample secure and safe paid parking located on-site.
Join Our VIP List
"*" indicates required fields
Automated page speed optimizations for fast site performance